
Courtesy of NatureMagazine
Peran Protein APP dalam Penuaan Otak Biasa dan Potensi Mengatasi Penurunan Memori
05 Mar 2025, 07.00 WIB
152 dibaca
Share
Ikhtisar 15 Detik
- Penelitian menunjukkan bahwa protein APP memiliki peran dalam penuaan otak normal.
- Menghapus gen appa pada ikan killifish dapat memperlambat tanda-tanda penuaan dan meningkatkan fungsi otak.
- Temuan ini dapat memberikan wawasan baru untuk mengatasi penurunan mental terkait usia dan Alzheimer.
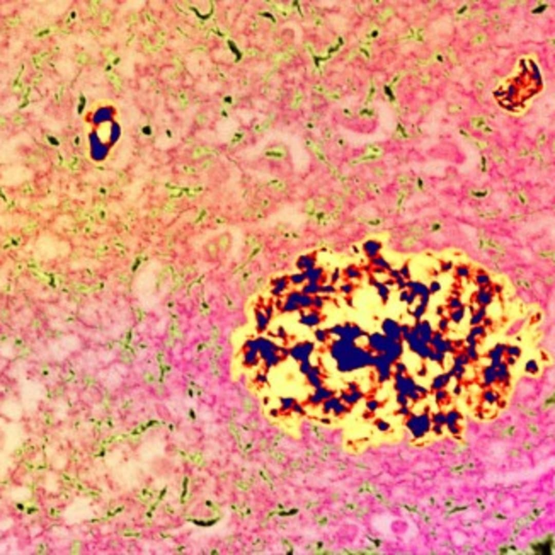
Penelitian terbaru menunjukkan bahwa protein yang terlibat dalam perkembangan penyakit Alzheimer, yaitu amyloid-β precursor protein (APP), juga berperan dalam proses penuaan otak yang normal. Tim peneliti yang dipimpin oleh Dario Valenzano dari Leibniz Institute on Aging di Jerman menemukan bahwa dengan menghapus gen appa yang menghasilkan APP pada ikan killifish turquoise, tanda-tanda penuaan otak dapat berkurang. Ikan ini memiliki umur pendek dan menunjukkan penurunan fungsi otak yang cepat seiring bertambahnya usia.
Dalam penelitian ini, peneliti menemukan bahwa ikan tua memiliki akumulasi produk sampingan APP, termasuk jenis amyloid-β yang merusak, di dalam sel-sel otak mereka. Setelah menggunakan teknik pengeditan gen CRISPR untuk menciptakan ikan yang tidak memiliki gen appa, mereka menemukan bahwa ikan tersebut mengalami penurunan kematian sel dan peradangan otak, serta peningkatan kemampuan belajar. Ikan yang telah diedit gen-nya dapat belajar lebih cepat dibandingkan ikan normal yang seumuran, menunjukkan potensi untuk mengatasi penurunan fungsi otak seiring bertambahnya usia.
Referensi:
[1] https://nature.com/articles/d41586-025-00689-w
[1] https://nature.com/articles/d41586-025-00689-w
Analisis Ahli
Dario Valenzano
"APP memiliki peran ganda, tidak hanya buruk karena amyloid-β tapi juga penting dalam menjaga fungsi normal otak selama penuaan."
Ahli Neurologi Senior
"Studi ini menawarkan perspektif baru yang vital, namun perlu evaluasi lebih lanjut pada manusia untuk memastikan keamanan intervensi genetik."
Analisis Kami
"Temuan ini sangat menarik karena menggeser fokus penelitian dari APP yang hanya dianggap berbahaya pada Alzheimer menjadi faktor penting dalam penuaan otak normal. Ini dapat memicu revolusi dalam pendekatan pengobatan terkait penuaan kognitif yang lebih preventif dan bukan hanya kuratif."
Prediksi Kami
Di masa depan, terapi yang menargetkan APP dapat dikembangkan untuk memperlambat penuaan otak dan mencegah penurunan kognitif pada manusia, terpisah dari penanganan Alzheimer.
Pertanyaan Terkait
Q
Apa peran protein APP dalam penuaan otak?A
Protein APP berperan dalam membentuk hubungan antara neuron di otak dan terlibat dalam pembentukan amyloid-β yang terkait dengan Alzheimer.Q
Bagaimana penelitian ini menghubungkan APP dengan Alzheimer?A
Penelitian menunjukkan bahwa akumulasi APP dan amyloid-β terjadi baik pada otak sehat maupun yang terkena Alzheimer, mengindikasikan peran APP dalam penuaan otak.Q
Apa yang ditemukan tim peneliti tentang ikan killifish turquoise?A
Tim peneliti menemukan bahwa menghapus gen appa pada ikan killifish turquoise mengurangi tanda-tanda penuaan dan meningkatkan fungsi otak.Q
Apa dampak pengeditan gen CRISPR pada ikan killifish dalam penelitian ini?A
Pengeditan gen CRISPR pada ikan killifish menunjukkan penurunan kematian sel dan inflamasi otak, serta peningkatan kemampuan belajar.Q
Mengapa penelitian ini penting untuk memahami penuaan otak?A
Penelitian ini penting karena dapat membuka jalan untuk strategi baru dalam mengatasi penurunan mental terkait usia.



