
Courtesy of InterestingEngineering
Penemuan 230 Virus Raksasa Baru yang Berperan di Ekosistem Laut Global
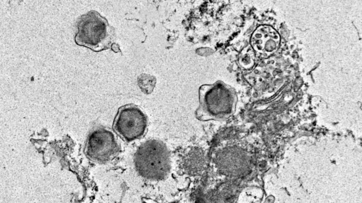
Mengungkap keberagaman virus raksasa di lautan dan memahami peran mereka dalam ekosistem laut serta potensi pengelolaan ledakan alga berbahaya dan aplikasi bioteknologi.
08 Jun 2025, 01.32 WIB
290 dibaca
Share
Ikhtisar 15 Detik
- Penelitian ini mengungkapkan adanya virus raksasa baru yang dapat memengaruhi ekosistem laut.
- Virus raksasa memiliki fungsi yang mengejutkan dalam metabolisme mikroorganisme dan dapat berkontribusi pada siklus kimia laut.
- Alat baru bernama BEREN membantu dalam mendeteksi dan mengklasifikasikan virus raksasa dengan lebih efektif.
Miami, Amerika Serikat - Para ilmuwan dari Universitas Miami telah menemukan 230 virus raksasa baru yang menginfeksi organisme laut kecil seperti alga dan amoeba yang sangat penting untuk rantai makanan laut. Penemuan ini membuka pemahaman baru tentang keberagaman dan fungsi virus di ekosistem laut.
Virus-virus ini membawa gen yang terkait dengan proses fotosintesis dan metabolisme karbon, yang biasanya hanya ditemukan pada makhluk hidup. Hal ini menunjukkan virus memiliki peran penting dalam mengubah metabolisme inangnya selama infeksi dan memengaruhi siklus kimia di lautan.
Peneliti menggunakan alat komputer bernama BEREN, yang dibuat khusus untuk dapat menemukan dan mengklasifikasikan virus raksasa dengan lebih mudah dan akurat dari data DNA lautan yang luas di seluruh dunia.
Penelitian yang memanfaatkan superkomputer Pegasus ini juga menemukan lebih dari 500 protein baru dalam virus-virus tersebut. Beberapa protein ini bisa memiliki potensi aplikasi bioteknologi, misalnya sebagai enzim baru yang belum ditemukan sebelumnya.
Studi ini membantu membuka jalan untuk pemantauan virus lebih baik yang dapat membantu mengelola ledakan alga berbahaya yang berdampak pada kesehatan masyarakat dan ekosistem, serta berkontribusi pada pemahaman global tentang virus laut.
Referensi:
[1] https://interestingengineering.com/science/230-giant-viruses-discovered-effects-ocean-health
[1] https://interestingengineering.com/science/230-giant-viruses-discovered-effects-ocean-health
Analisis Ahli
Analisis Kami
"null"
Prediksi Kami
Pertanyaan Terkait
Q
Apa yang ditemukan oleh para ilmuwan di University of Miami terkait virus raksasa?A
Para ilmuwan menemukan 230 virus raksasa baru dan 530 protein baru di dalam virus tersebut.Q
Mengapa virus raksasa penting dalam ekosistem laut?A
Virus raksasa dapat menyebabkan kematian fitoplankton, yang merupakan dasar dari rantai makanan di ekosistem laut.Q
Apa itu alat BEREN dan fungsinya?A
BEREN adalah alat yang dikembangkan untuk mengidentifikasi dan mengklasifikasikan virus raksasa dalam dataset sekuensing.Q
Bagaimana virus raksasa dapat memengaruhi metabolisme fitoplankton?A
Virus raksasa dapat membawa gen yang mengubah metabolisme fitoplankton, termasuk proses fotosintesis.Q
Di mana hasil penelitian ini dipublikasikan?A
Hasil penelitian ini dipublikasikan di jurnal npj Viruses.




